
患者张某某,男,71岁,反应迟钝伴头晕1月余。患者一月余前受凉后出现反应迟钝,伴头晕,约3天后出现右肢乏力,反应迟钝加重,沉默少语,遂被家属送至当地医院就诊。查头颅CT示脑梗塞。颈部血管超声示左侧颈部血管闭塞,诊断为“脑梗死”,予改善脑循环,抑制血小板聚集及对症治疗后右肢乏力减轻,反应迟钝无好转,为拟行DSA治疗至神经科住院治疗。病程中,患者无四肢抽搐,无口角流涎,无吐词不清,无肢体麻木,平素食纳睡眠一般,大小便正常。
既往有高血压病史,不正规服用降压药;否认糖尿病、冠心病史,否认乙肝、结核等传染病史,有阑尾切除术病史,否认外伤史及过敏史。家族中无类似遗传病史。
体格检查:T 37.2℃,P 65次/分,R 18次/分,BP135/72mmHg。神清精神可,全身皮肤黏膜无黄染及瘀斑,浅表淋巴结未触及肿大,双肺呼吸音粗,未闻及啰音。心率65次/分,律齐,无杂音。腹平软,无压痛及反跳痛,双下肢无浮肿。
专科检查:双瞳等大等圆,直径约3mm,,光敏,无眼球震颤。双侧额纹、鼻唇沟对称,伸舌居中。四肢肌张力正常,下肢肌力5-级,双上肢及右下肢肌力5级。双侧痛温觉对称,腱反射对称引出。双侧巴氏征(±)。颈软,克氏征阴性。
辅助检查:
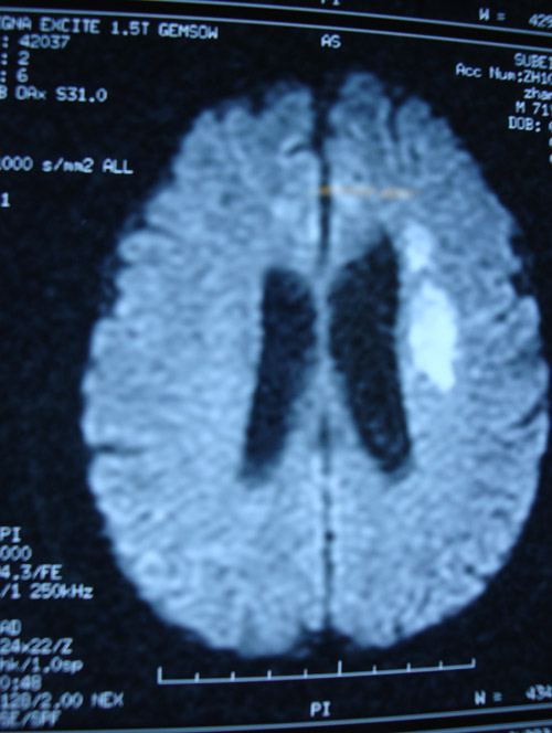
MR示:左侧放射冠区、左侧顶叶、左侧枕叶多发急性梗死;脑萎缩改变。
颈动脉超声示:双侧颈动脉硬化伴斑块形成;右颈内动脉起始部狭窄;左颈内动脉起始部血管闭塞;左椎动脉细,未见明显血流。


诊断:
慢性脑供血不足
左侧脑梗死
高血压病Ⅲ期
左侧颈内动脉起始段闭塞、右侧颈内动脉、右侧椎动脉起始段狭窄。
该患者右侧颈内动脉重度狭窄,左侧虽近端显示接近闭塞,但远端虹吸段仍有血流,且造影片显示前交通支开放,因此,也有手术的希望。经协作组张勤奕教授会诊,此次先处理右侧病变,通过侧枝循环继而也会使左侧供血相应得到改善,待病情稳定3个月后再为其实施左侧手术。
2010年10月30日,张勤奕教授和安贞医院麻醉科欧阳川教授在江苏省苏北人民医院顺利为张某实施了右侧颈动脉内膜剥脱术。