
患者梅某某,男,55岁,因间断头晕10余年,加重伴言语不利、右下肢力弱3个月入住北京市第六医院。
现病史:患者10余年前无明显诱因出现头晕,无耳鸣、恶心、呕吐,无视物模糊、视物旋转,无胸闷、胸痛,无心悸、气短,无意识障碍,无肢体、言语不利,休息后约10分钟上述症状可完全消失,此后头晕症状间断出现,性质同前,每次持续十余分钟至数小时不等,与头颈部活动无明显相关性,偶伴头痛,呈双太阳穴处波动性痛,于当地医院就诊,测血压为160/90mmHg,后多次测血压均高于140/90mmHg,最高位200/110mmHg,明确诊为高血压病,但患者未予重视,未规律用药,2年前开始规律服用络活喜5mg qd降压治疗,血压可控制在130-140/80mmHg左右。3个月患者无明显诱因出现头晕加重伴言语不利,右下肢力弱,无恶心、呕吐,无视物模糊、视物旋转,无胸闷、胸痛,无心悸、气短,无意识障碍,于当地医院就诊行头颅CT、MRI检查明确诊断为脑梗塞(右侧半卵圆中心、基底节区脑梗塞),经治疗后症状改善出院(具体不详),2周前于北京宣武医院、武警总队第二医院完善头颈部血管超声、MRA及血管造影检查提示右侧颅内血管多发狭窄,双侧颈动脉、椎动脉狭窄,以右侧颈动脉球部为著,狭窄约90%,建议行颈内动脉剥脱术,今日为进一步诊治收入院。患者自病情加重以来神清,饮食、睡眠及二便情况基本正常,近期体重无明显减轻。
既往史:2型糖尿病史10余年,未规律用药控制血糖达标,现以二甲双胍500mg 三餐前联合超长效胰岛素26iu qd皮下注射控制血糖治疗,监测血糖空腹在6-7mmol/L,餐后在7-8mmol/L;否认冠心病、消化道溃疡、支气管哮喘等病史,否认肝炎、结核等传染病史。否认外伤史及输血史。否认药物及食物过敏史。否认近期有预防接种石。
家族史:其母患有糖尿病、高血压病;否认家族中有传染病及遗传疾病病史。
查体:BP 130/80mmHg,神清,精神可,言语不利,双肺呼吸音正常,未闻及干湿罗音,心界略向左扩大,心率78次/分,律齐,各瓣膜区未闻及病理性杂音,腹软,无压痛,双下肢不肿。右下肢肌力Ⅴ-级,双侧巴氏征阳性。
辅助检查:
颈动脉超声检查:双侧颈动脉内膜增厚伴斑块形成(多发);右侧颈动脉球部狭窄(90%-99%,狭窄以远管腔纤细);左侧颈动脉球部狭窄(50%-69%);左侧椎动脉Ⅴ1段狭窄(50%-69%);左侧椎动脉开口处走行弯曲;右侧锁骨下动脉斑块形成(单发)。
TCD:双侧颈内动脉颅外段病变;前交通支开放;右颈内-外动脉侧枝开放;右侧大脑前动脉狭窄(重度)。
颅脑MRA:颅内动脉粥样硬化性改变;右侧海绵窦段、前床突上段、大脑中动脉狭窄
颈部MRA:右侧颈内动脉颈段较对侧明显纤细。
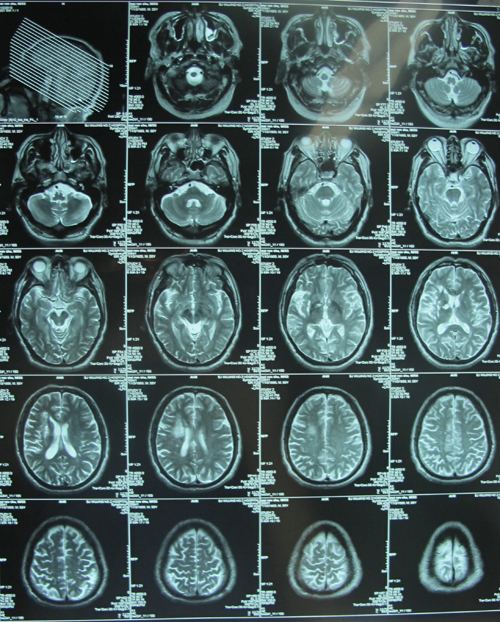
头颅MR平扫:右侧半卵圆中心、基底节区梗塞灶(亚急性、慢性);左侧半卵圆中心、基底节区散在腔隙灶;右侧颈内动脉海绵窦段管径较对侧纤细;双侧上颌窦炎症。并左侧上颌窦内粘液囊肿。

术中取出的斑块
诊断:
1、冠状动脉性心脏病
无症状性心肌缺血
心功能I级
2、高血压病3级(极高危组)
3、脑梗塞
4、2型糖尿病
5、周围动脉硬化症
右侧颈动脉狭窄(重度)
6、呼吸睡眠暂停综合症
该患者为老年患者,间断头晕10余年,加重伴言语不利、右下肢力弱3个月,右侧颈动脉球部狭窄约90%,且有高血压、糖尿病等危险因素,手术指征明确。2010年11月3日,由协作组张勤奕教授、王冬青教授及安贞医院欧阳川主任共同为其实施了右侧颈内动脉内膜剥脱术。术后患者恢复良好。