
将CAT扫描(也称为CT扫描)是众所周知的名字,但你真的知道它是什么,并了解它是如何工作的? CT扫描通常是尤其在急诊室急性中风中风评估完成后,第一次测试中的一个。 这个测试可以显示大脑中的异常区域,并能帮助确定这些区域由血流量不足(缺血性中风)引起的血管破裂(出血),或不同种类的问题。 CT扫描可以在身体任何部位来获得,但这里的信息仅适用于头部CT扫描。
CT扫描使用X射线来把你的头骨和大脑的图片。 病人躺在在一个隧道状的机器,而机器转动的内侧,并采取X射线的头从不同的角度。 这些照片都是后来使用的计算机,使大脑的“切片”(或横截面)的图像。
CT扫描使用计算机和旋转X光机来创建切片的图像,或横截面,大脑的。 不同于其它技术,CT扫描(和MRI扫描)可以显示出头部的内侧,包括软组织,骨骼,脑和血管。 CT扫描通常可以显示所造成的肿瘤,血管缺陷,血液凝块和其他问题的大小和大脑异常的位置。 CT扫描确定行程是否是缺血性或出血性的主要方法。
号即使你有中风,可能无法看到的CT扫描有以下几个原因。 在许多情况下,大脑的介入区域未出现异常的中风发作后的最初几个小时。 此外,行程区间可能太小,可以看到在CT扫描,或它可以是在脑(脑干或小脑),该CT扫描没有图像很好的一部分。 根据CT检查结果,医生可能会希望获得进一步的测试,包括核磁共振成像扫描。 MRI能更准确中风和其他条件,但它需要更长的时间,而且往往不是在紧急情况下可用。
您将删除可减少图像的质量有任何金属物体(包括珠宝首饰,眼镜,假牙,和发夹)。 您可能会被要求删除你的衣服,穿上病人服。 一个技术专家将帮助你说谎面朝上放在扫描仪表,用你的头向CT扫描仪的“甜甜圈洞”。技师将你定位在桌子上,并且可以使用的设备来保持你的头的地方。 那么他或她离开考场,并进入控制室,在那里你仍然可以通过对讲通信。
静脉内染料(造影剂),可给予,通过注射。 这可以有助于突出在扫描异常部位。
而CT图像被拍摄,静躺放在桌子上,这将是非常缓慢地以图像的大脑是很重要的。 这是正常的CT扫描仪,使考试过程中呼呼的噪音,所以你不应该感到恐慌。 这个表将被移动几毫米的时间,以获得的脑的小片图像,直到考试结束。 该过程通常在20分钟至1小时之间发生。
该测试是无痛的,很少有副作用。 将CAT扫描使用很少的X射线辐射。 如果您收到造影剂,有过敏反应的机会。该反应可以是严重的,并且可能需要与适当的药物治疗。 如果你有过敏症的任何食物或药物,尤其是海鲜或碘,它在手术前告知技师是很重要的。 你也应该告诉技师,如果你能怀孕。
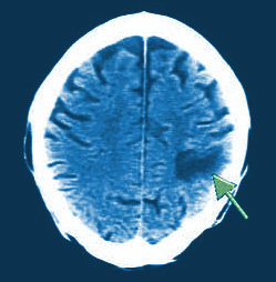
CT是基于同样的原理与常规的X射线。 X射线是由身体的不同部分吸收不同。 骨吸收了大部分的X射线,所以头骨的图像上显示为白色。 水(在大脑中的中间脑室或充满液体的腔体)吸收小,并且出现黑色。 大脑有中等密度和出现灰色。 大多数缺血性中风是密度较小(较暗)比正常脑,而血出血是更密集,看起来是白色的CT检查。
在脑CT成像,X-射线扇形束被发出通过头骨,并在扫描仪上的另一侧的器件拾取的X射线的强度不同。 后的X射线管和检测器所做1 360°旋转,其中一个横截面(宽几毫米)的图象已被占用。 在旋转期间,数以百计的快照被采取,这是后来使用的计算机,以使最终图像。