
患者付某某,女,51岁,发作性左眼视物模糊两周入院。2周前患者无明显诱因出现左眼视物模糊,持续3-5秒后完全缓解,伴有左眼眼眶不适,用手按压后好转,上述症状每天发作4-5次,否认头痛或眼部疼痛,否认视物成双或变形,否认视物旋转。无肢体麻木无力或抽搐。否认言语不清、吞咽困难,饮水呛咳。近一周再次出现,就诊于眼科行相关检查,考虑患者视网膜病变、眼底缺血,建议行脑血管造影术,评估患者颈动脉情况,进一步决定治疗方案,故入住神经科,发病以来饮食睡眠一般,精神可,二便正常。
既往20年前曾患肺结核,已治愈,小柳原田病史6年,已治愈,高血压病6年,血压最高180/110mmHg,目前服用司乐平4mgBid,阿尔马尔5mgbid及安博维75mgqd,3个月前曾患脑梗塞,主要表现为右手无力及言语不利,未遗留后遗症,否认肝炎病史及密切接触史,否认手术外伤史,预防接种史按计划进行。否认家族性遗传病及传染病史。
体格检查:T 36.7℃ P76次/分 R18次/分 BP140/80mmHg。发育正常,营养良好,神志清楚,自主体位,表情自如,步入病房,查体合作。皮肤黏膜色泽正常,皮肤弹性正常,无肝掌及蜘蛛痣,无出血点、瘀斑。全身浅表淋巴结无肿大。头颅无畸形,眼睑正常,结膜正常,巩膜无黄染,双侧瞳孔等大等圆,对光反射灵敏,乳突无压痛,扁桃体无肿大。颈部无抵抗,颈静脉正常,肝颈静脉回流征阴性,颈动脉搏动正常,双侧无杂音。气管居中,甲状腺不大。胸廓无畸形,腹壁静脉无曲张,胸骨无压痛。肺部呼吸运动度对称,无胸膜摩擦感。叩诊清音,呼吸规整。心前区无隆起,心尖无搏动,无心包摩擦感。神经系统检查:自动睁眼,评分4分;言语反射:回答正确,评分5分;运动反射:按嘱咐运动,评分6分。
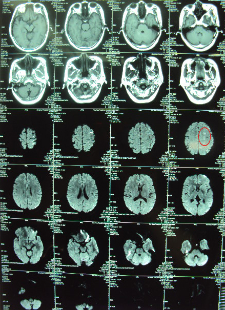
辅助检查:
脑血管造影示:右侧颈动脉血流通畅,左侧颈内动脉已经闭塞,但远端虹吸段和左侧大脑中动脉尚有血流通过。

可见侧枝血流通畅

左侧颈内动脉闭塞未显影

CT显示可见之前的梗塞灶
经过分析,付某的左侧颈动脉虽已闭塞,但由于前交通支等侧枝的代偿,左侧脑组织并非完全没有了血液供应,即脑细胞并非完全坏死。因此,通过手术取出斑块,通畅左侧颈内动脉血流,将会明显改善患者目前的症状。
2010年4月30日,协作组张勤奕教授与北京大学人民医院凌云鹏医生合作,为付某成功实施了左侧颈内动脉内膜剥脱术。
这例患者是1例典型的缺血性眼病患者,即症状表现在眼部,但病变却在颈部。由于眼动脉解剖特点为管径细,以近乎直角从颈动脉分出,因而颈动脉狭窄易导致眼动脉灌注不足,表现出一系列的眼部症状。当颈内动脉动脉狭窄达到90%,则视网膜中央动脉的灌注压将会降低一半。也就是说当出现短暂的一侧眼睛失明或者视物模糊时,很可能意味着其颈内动脉已经闭塞。所以,临床上对待这类患者一定要详细找出其真正病因,切勿只注重局部,延误诊治。
[返回上一页]